Why are my gums black is one of the most common dental concerns people search for online, and the answer is not always alarming. Your gums can turn dark brown, gray, purple, or black for many different reasons — some completely harmless, others requiring prompt dental care.
Natural melanin pigmentation, smoking, medications, gum disease, and rare systemic conditions are all possible causes.

Healthy gums are usually described as “coral pink” or pale pink in color. They should feel firm, fit snugly around the teeth, and show no signs of swelling or bleeding.
However, gum color is not one-size-fits-all. Just like skin tone, gum color naturally varies from person to person based on genetics and ethnicity.
People with darker skin tones, including those of African, Asian, Mediterranean, or Middle Eastern descent, often naturally have darker gums ranging from brown to near-black. This is completely normal and healthy.
There are multiple reasons why gums turn black or dark. Some are genetic, some are lifestyle-related, and others signal underlying health conditions that need attention.
Here is a full breakdown of every major cause.
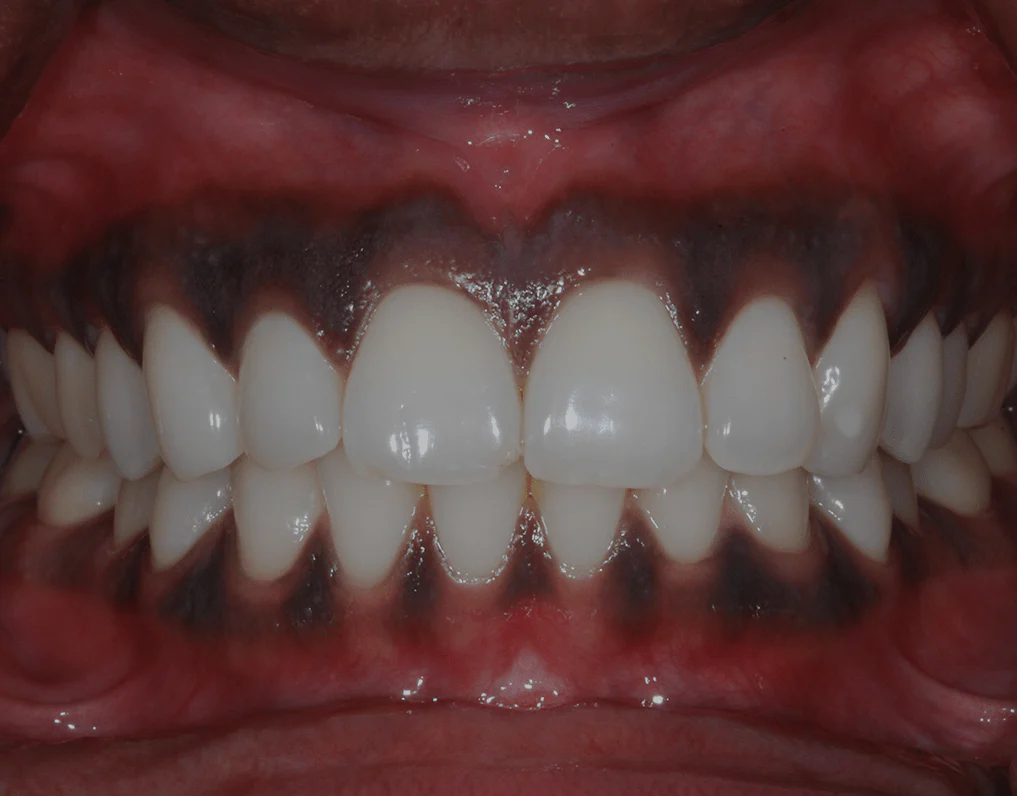
The most common reason for black or very dark gums is natural melanin production. Melanin is the same pigment responsible for the color of your skin, hair, and eyes.
People with higher melanin levels in their bodies will naturally have darker gum tissue. This pigmentation is typically even, consistent, and stable over time.
If your gums have always been dark and there is no pain, swelling, or sudden change, there is nothing to worry about. This is a completely normal variation in oral anatomy.
| Feature | Natural Melanin Pigmentation |
|---|---|
| Color | Dark brown to black |
| Pattern | Even and consistent across gums |
| Pain or swelling | None |
| Treatment needed | No — cosmetic only if desired |
| Who is affected | People with darker skin tones |
Smoking is one of the most well-known causes of black gums. When nicotine enters the body, it stimulates melanocyte cells — the cells responsible for producing melanin — to produce significantly more pigment than normal.
This causes the gums to develop dark brown or black patches, a condition clinically known as smoker’s melanosis. The discoloration typically appears on the front gums, inner cheeks, and lower lip.
The good news is that smoker’s melanosis can partially or fully reverse after you quit smoking. The longer you smoke, the more deeply the pigmentation sets in.
Chewing tobacco and cigars also cause the same gum darkening effect as cigarettes.
Several prescription drugs are known to cause gum discoloration as a side effect. This happens when iron deposits from the medication penetrate gum tissue, leaving behind a dark pigment.
Common medications linked to black gums include:
| Medication | Type | Effect on Gums |
|---|---|---|
| Minocycline | Antibiotic (acne treatment) | Dark brown or blue-black patches |
| Chloroquine / Quinine | Antimalarial drugs | Dark gum pigmentation |
| Chlorpromazine | Antipsychotic | Purple-black discoloration |
| Cyclophosphamide / Bleomycin | Chemotherapy | Hyperpigmentation of gum tissue |
| Ketoconazole | Antifungal | Gum darkening |
| Zidovudine | Antiretroviral | Oral tissue discoloration |
If you notice gum darkening after starting a new medication, speak with your doctor right away. An alternative drug may be available that does not cause this side effect.
Poor oral hygiene allows bacteria to build up at the gumline in the form of plaque and tartar. Over time, this causes inflammation of the gums, known as gingivitis.
If gingivitis is left untreated, it progresses to periodontitis — a more serious infection that damages the bone and tissue supporting your teeth. In advanced stages, infected or dying gum tissue can appear dark purple or black.
Regular brushing, flossing, and professional dental cleanings are the most effective ways to prevent gum disease and the discoloration that comes with it.
Trench mouth is a severe form of gum infection caused by the rapid overgrowth of bacteria in the mouth. It gets its nickname from being common among World War I soldiers living in trenches with poor hygiene and high stress.
It causes dead tissue to build up on the gum surface, which appears as black or dark gray patches. Other symptoms include intense gum pain, fever, excessive saliva, bad breath, and ulcers forming at the base of the teeth.
Trench mouth requires immediate professional dental treatment, including deep cleaning, antibiotics, and sometimes prescription mouth rinses.
An amalgam tattoo is a harmless dark spot that forms when tiny particles of silver dental filling material (amalgam) become dislodged and embed themselves in the nearby gum tissue.
These spots appear as small, permanent black, gray, or blue patches, usually close to where a dental filling or crown was placed. They do not cause pain and pose zero health risk.
Amalgam tattoos are often mistaken for more serious conditions, but a dentist can confirm the diagnosis with an X-ray. No treatment is required unless you want to remove them for cosmetic reasons.
Addison’s disease is a condition where the adrenal glands do not produce enough cortisol and aldosterone hormones. In response, the body increases production of ACTH, a hormone that stimulates melanocytes, causing hyperpigmentation throughout the body.
One of the earliest visible signs of Addison’s disease is dark patches appearing on the gums, inner cheeks, lips, and skin folds like the knuckles, elbows, and knees.
If your gums suddenly turn black and you also experience unexplained fatigue, weight loss, weakness, or low blood pressure, see a doctor immediately. Addison’s disease is manageable when diagnosed and treated early.
Peutz-Jeghers syndrome is a rare genetic disorder characterized by dark spots appearing on the gums, lips, and inside the mouth. These spots look similar to freckles and are caused by a gene mutation.
People with this condition also develop benign polyps in the gastrointestinal tract and may experience abdominal discomfort and vomiting.
A genetic consultation and gastrointestinal evaluation are recommended if dark gum spots are accompanied by these other symptoms.
Oral melanoma is a rare but aggressive form of cancer that can appear as a dark, irregularly shaped patch on the gums, hard palate, or other oral tissues. It accounts for about 0.5% of all melanoma cases.
Signs that a dark gum spot may be oral melanoma include irregular or uneven borders, rapid growth over weeks or months, multiple colors (black, brown, red), ulceration, and bleeding.
Any persistent dark lesion that changes in size, shape, or appearance must be evaluated by a dentist or oral surgeon as soon as possible. Early detection is critical.
Hormonal fluctuations during pregnancy, puberty, or menopause can temporarily affect gum color. Increased blood flow and tissue sensitivity during pregnancy can make gums appear darker, redder, or more inflamed.
Pregnant women are also more susceptible to plaque buildup, which increases the risk of pregnancy gingivitis — a mild form of gum inflammation that can cause discoloration.
Good oral hygiene during pregnancy is especially important to prevent gum disease and keep gum color stable.
When teeth are not brushed and flossed regularly, bacteria accumulate along the gumline. This plaque hardens into tartar, which irritates gum tissue and eventually causes inflammation and darkening.
Over time, chronic neglect of oral hygiene can lead to gum disease and permanently darken the gum tissue in affected areas.
Daily brushing with a soft-bristled toothbrush, flossing once a day, and visiting a dentist every six months are the simplest ways to prevent discoloration caused by poor hygiene.
Exposure to heavy metals such as lead, bismuth, or silver can cause dark deposits to form along the gumline. These appear as a dark or bluish line just above the teeth, sometimes called a “lead line” or “bismuth line.”
This type of gum darkening is rare but can occur in people who work in certain industrial environments or who were exposed to lead paint or contaminated water.
Heavy metal poisoning requires immediate medical evaluation and treatment.

Not all dark gums are an emergency. But there are specific warning signs that mean you need to see a dentist or doctor promptly.
You should seek professional evaluation if:
If your gums have always been dark and none of these warning signs are present, you likely have natural melanin pigmentation that requires no treatment.
Treatment for black gums depends entirely on the underlying cause. Here is a complete guide to all available options.
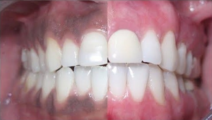
Laser depigmentation is the most popular and effective cosmetic treatment for dark gums. A dental laser precisely targets and removes melanin-producing cells in the top layer of gum tissue.
As the gums heal, new, lighter-colored tissue regenerates beneath. The procedure typically takes 20 to 45 minutes per session, requires only local anesthesia, and involves minimal pain or recovery time.
Results can last 20 years or even a lifetime, making it a highly cost-effective long-term solution.
The traditional method of gum depigmentation involves using a surgical blade to remove the top pigmented layer of gum tissue. This exposes the lighter connective tissue underneath.
It is more affordable than laser treatment but involves more bleeding and requires a protective gum dressing for 7 to 10 days during healing. It remains a valid option in clinics where laser equipment is not available.
Cryosurgery uses extreme cold temperatures to freeze and destroy the pigmented gum cells. It is less commonly used but effective for specific cases, particularly localized dark spots.
Recovery time is quick and the procedure involves minimal discomfort. However, it is generally less precise than laser treatment for larger areas of pigmentation.
Electrosurgery uses controlled electrical current to remove pigmented gum tissue. It is sometimes used as an alternative to laser or scalpel methods, particularly for small, defined areas of discoloration.
If black gums are caused by gum disease rather than pigmentation, the primary treatment is professional deep cleaning. Scaling removes tartar buildup from the tooth surface, and root planing smooths the roots to prevent bacteria from reattaching.
This non-surgical treatment can significantly improve gum color when the darkening is caused by chronic inflammation or infection.
For infections like trench mouth (ANUG), a dentist will prescribe antibiotics to clear the bacterial infection. Prescription mouth rinses and professional cleaning are also part of the treatment plan.
If medications are causing gum darkening, your doctor may switch you to an alternative drug to allow the pigmentation to fade naturally over time.
For smoker’s melanosis, quitting tobacco is the single most impactful step. Research shows a clear link between quitting smoking and a reduction in gum discoloration over time.
Combined with professional cleaning and good oral hygiene, ex-smokers often see their gum color lighten noticeably within months to years of stopping tobacco use.
For gum darkening caused by Addison’s disease or other systemic conditions, treating the underlying condition is the priority. A doctor will manage hormone levels, and gum pigmentation often stabilizes as a result.
| Treatment | Best For | Invasiveness | Duration of Results |
|---|---|---|---|
| Laser Depigmentation | Melanin pigmentation, cosmetic | Minimal | 20 years to lifetime |
| Scalpel Scraping | Melanin pigmentation, budget option | Moderate | Long-lasting |
| Cryosurgery | Localized spots | Minimal | Long-lasting |
| Deep Cleaning | Gum disease-related darkening | Non-surgical | Ongoing with maintenance |
| Antibiotics | Trench mouth infection | Non-surgical | Resolves with infection |
| Quit Smoking | Smoker’s melanosis | Lifestyle change | Gradual improvement |
| Medication Change | Drug-induced pigmentation | Non-surgical | Gradual improvement |

This depends on what caused the darkening in the first place.
Gum color caused by natural melanin genetics is permanent unless professionally treated. It will not lighten on its own.
Gum color darkened by smoking can lighten significantly after quitting, especially in the early stages. Long-term, heavy smokers may retain some discoloration permanently.
Medication-induced darkening can fade after switching drugs, though it may take months.
Gum disease-related darkening often improves substantially with proper treatment and consistent oral hygiene.
Dark gums in children are usually harmless and related to natural melanin pigmentation, especially in children with darker skin tones.
However, parents should monitor for sudden color changes, especially if the darkening is in one specific spot or is accompanied by symptoms like bad breath, bleeding, or pain.
Poor oral hygiene, passive smoking exposure, and vitamin deficiencies can also cause gum darkening in children. Teaching proper brushing habits from an early age is the best prevention.

Most non-genetic causes of gum darkening are preventable with consistent habits.
Brush your teeth twice daily using a soft-bristled toothbrush. Focus on the gumline where plaque tends to accumulate most.
Floss at least once every day. Flossing removes bacteria and food debris from between the teeth and below the gumline where brushing cannot reach.
Quit smoking or never start. Tobacco is one of the most preventable causes of gum discoloration and serious gum disease.
Visit your dentist every six months for a professional cleaning and examination. Early detection of gum problems prevents them from progressing to more serious conditions.
Drink plenty of water throughout the day to help rinse bacteria from the mouth and maintain saliva production, which naturally protects gum tissue.
Eat a balanced diet rich in Vitamin C (which supports gum health), Vitamin D, and antioxidants. Limit sugary foods and drinks that feed bacteria.
Sudden gum darkening is not normal and should be evaluated by a dentist. It may indicate gum disease, a medication side effect, infection, or rarely, a serious condition like oral melanoma.
No. If you have always had dark gums, this is likely natural melanin pigmentation and is completely harmless. Only sudden or patchy changes require concern.
Yes. Nicotine stimulates melanocyte cells to overproduce melanin, causing a condition called smoker’s melanosis. The gums turn dark brown or black, and the discoloration can partially reverse after quitting smoking.
Minocycline (an antibiotic), antimalarial drugs like chloroquine, some antipsychotics, chemotherapy drugs, and antiretroviral medications are all known to cause gum darkening as a side effect.
Yes. Advanced gum disease causes tissue damage, inflammation, and in severe cases like trench mouth, actual tissue death — all of which can make gums appear dark gray or black.
An amalgam tattoo is a small, harmless black or gray spot caused by particles of silver dental filling material embedding into the gum tissue near a filling or crown. It is painless and poses no health risk.
A dental laser targets melanin-producing cells in the top layer of gum tissue and removes them. The gums heal with lighter-colored tissue beneath. The procedure takes 20 to 45 minutes and results can last a lifetime.
In rare cases, yes. Oral melanoma can appear as a dark, irregular, or growing spot on the gums. Any persistent gum spot that changes in size or bleeds should be evaluated by a dental professional immediately.
It depends on the cause. Gums darkened by smoking may lighten after quitting. Medication-induced discoloration can fade after changing drugs. Natural melanin pigmentation does not reverse without professional treatment like laser depigmentation.
See a dentist if your gum color changed suddenly, if dark patches appeared in specific spots, if you have pain, swelling, bleeding, or bad breath alongside the discoloration, or if a spot is growing or changing shape.
Why are my gums black is a question with many possible answers, and the right response depends entirely on what is causing the discoloration. For most people with consistently dark gums from birth, the cause is natural melanin pigmentation, which is harmless and requires no treatment unless you choose cosmetic improvement.
For others, black gums are a signal worth taking seriously — whether the cause is smoking, medication, gum disease, a systemic condition like Addison’s disease, or rarely, oral melanoma.
The most important thing you can do is pay attention to changes. If your gums have always been dark, there is likely nothing to worry about. If the color changed suddenly, if patches appeared in localized areas, or if you have any pain, bleeding, or other symptoms alongside the discoloration, schedule a dental appointment without delay.
With modern treatments like laser gum depigmentation, professional deep cleaning, and targeted medication management, black gums can almost always be effectively addressed.
Good oral hygiene, quitting tobacco, and regular dental visits remain your best long-term tools for keeping your gums healthy, comfortable, and confident-looking in 2026 and beyond.